سیتولوژی و پاتولوژی شاخه هایی از علم پزشکی هستند که به بررسی بیماری ها در سطح سلولی و بافتی می پردازند اما با این حال تفاوتهایی اساسی از لحاظ مفهوم، نوع بیماریهای قابل تشخیص، شیوه انجام و زمان مورد نیاز برای تحلیل دارند.
به طور خلاصه می توان گفت:
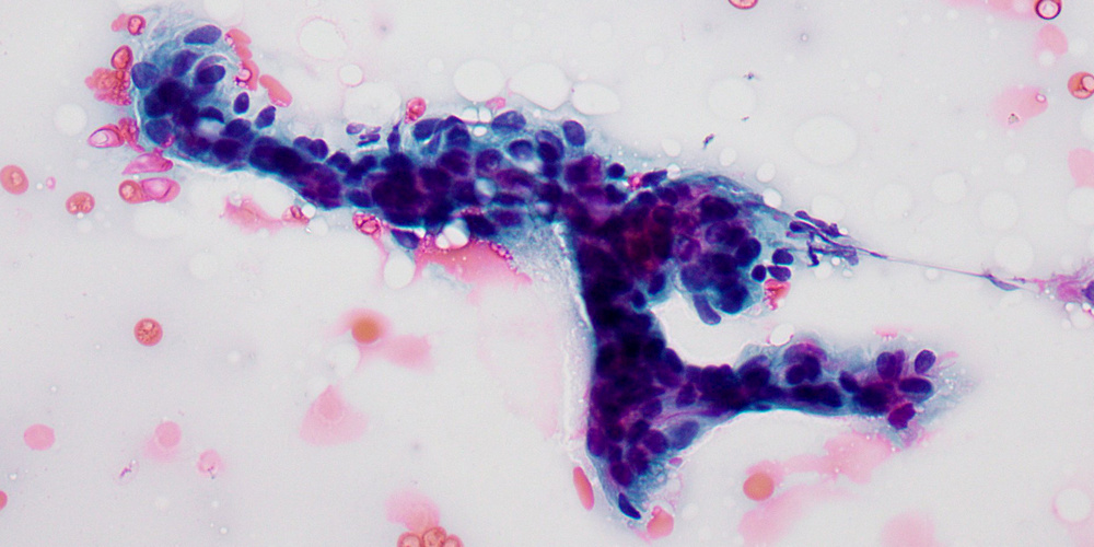
سیتولوژی به بررسی ساختار، عملکرد و رفتار سلولهای بدن به ویژه اندازه، ظاهر و شکل آنها میپردازد. سلول ها می توانند توسط مایعات بدن، نمونه برداری هایی از بافت یا نمونه هایی از دهانه رحم به دست بیاورند. از سیتولوژی برای غربالگری سرطان، تشخیص عفونت ها استفاده میشود.
پاتولوژی مطالعه بررسی بافت ها و اندام ها چه در مقیاس سلولی و چه در مقیاس ساختاری بزرگتر برعهده دارد. از پاتولوژی برای تشخیص بیماری های بسیاری از جمله سرطان ها، بیماری های خودایمنی ، عفونت ها استفاده میشود.
در ادامه این مباحث را باز می کنیم.
تفاوت پاتولوژی و سیتولوژی از لحاظ مفهوم
- سیتولوژی: این رشته به مطالعه و بررسی ساختار، عملکرد و رفتار سلولهای بدن میپردازد. هدف اصلی سیتولوژی، تشخیص و تحلیل تغییرات در سلولها به منظور تشخیص بیماریها است.
- پاتولوژی: پاتولوژی به بررسی تغییرات سلولی، بافتی و عضوی بدن انسان میپردازد. هدف اصلی پاتولوژی، شناسایی بیماریها و تعیین علل آنها از طریق تحلیل نمونههای بافتی و سلولی است.
تفاوت پاتولوژی و سیتولوژی از لحاظ نوع بیماریهای قابلتشخیص
- سیتولوژی: بیشتر برای تشخیص بیماریهایی مانند سرطانها و بیماریهای خونی کاربرد دارد. این رشته عمدتاً با تحلیل نمونههای سلولی به تشخیص این بیماریها میپردازد.
- پاتولوژی: به تشخیص و درمان انواع بیماریها شامل بیماریهای عفونی، تنفسی، قلبی، کلیوی، و گوارشی میپردازد. پاتولوژیستها با تحلیل نمونههای بافتی به تشخیص این بیماریها میپردازند.
تفاوت پاتولوژی و سیتولوژی از لحاظ شیوه انجام
- سیتولوژی: در این روش، نمونههای کوچکی از سلولها با استفاده از روشهایی مانند Fine Needle Aspiration (FNA) جمعآوری میشود. این روش معمولاً توسط پزشکان سیتولوژیست انجام میشود و نمونهها در آزمایشگاه زیر میکروسکوپ بررسی میشوند.
- پاتولوژی: نمونههای بزرگتری از بافتها و اعضا جمعآوری میشود. گاهی نیاز است که برای بهدستآوردن این نمونهها، عملهای جراحی کوچک انجام شود تا مقدار کافی نمونه برای تحلیل فراهم شود.
تفاوت پاتولوژی و سیتولوژی از لحاظ زمان موردنیاز برای تحلیل
- سیتولوژی: به دلیل استفاده از نمونههای کوچکتر و تحلیل سلولی، به طور معمول زمان کمتری برای تحلیل نیاز دارد.
- پاتولوژی: به دلیل استفاده از نمونههای بزرگتر و تحلیل بافتی، نیاز به زمان بیشتری برای تحلیل و تشخیص دارد.
انواع تحلیلها سیتولوژی و پاتولوژی
- سیتولوژی: شامل تحلیلهایی مانند اندازهگیری ابعاد و تعداد سلولها، شکل سلولها، تشخیص سلولهای سرطانی و موارد مشابه میشود.
- پاتولوژی: شامل تحلیلهایی مانند تشخیص نوع بافت، تشخیص نوع سرطان و تشخیص مراحل سرطان است.
به طور کلی، سیتولوژی و پاتولوژی هر دو رشتههای مهم در تشخیص و درمان بیماریها هستند، اما در حوزههای مختلفی مانند معانی، کاربردها و شیوه انجام تفاوت دارند. پزشکان ممکن است از هر دو رشته استفاده کنند تا تشخیص دقیقتری برای بیماران خود بهدست آورند.
پیشنهاد مطالعه: آشنایی با آزمایشات قبل از کاشت مو







































4 پاسخ
محیط آزمایشگاه بسیار تمیز و منظم بود و از لحظهٔ ورود حس احترام و آرامش داشتم. بهنظرم واقعاً بهترین آزمایشگاه شیرازه؛ میشود با خیال راحت به نتایج تکیه کرد. هیچ اتلاف وقتی نبود و همهچیز طبق نوبت و با مدیریت عالی پیش رفت. پرسنل با حوصله و محترمانه پاسخگو بودند و روند پذیرش تا نمونهگیری روان انجام شد. 🙂
از لطف شما سپاس؛ حفظ احترام به مراجعین و دقت نتایج در اولویت ماست.
در این آزمایشگاه، حتی وقتی مراجعهکننده سؤالهای تکراری میپرسد، پرسنل با حوصله جواب میدهند و هیچوقت رفتاری خستهکننده یا بیحوصله از آنها ندیدم. این نوع برخورد محترمانه، در کنار دقت علمی و سرعت عمل، فضای اعتمادآمیزی ایجاد میکند که برای من بسیار ارزشمند است.
خوشحالیم که تجربهٔ خوبی در آزمایشگاه دکتر صالحی داشتهاید. امیدواریم همواره شایستهٔ اعتماد شما باشیم.